Polícia Federal investiga fraude que desviou pelo menos R$ 6 bilhões do Ministério da Fazenda
A Polícia Federal (PF) realizou nesta quinta-feira(26) uma operação contra quadrilhas que causaram prejuízo de pelo menos R$ 6 bilhões aos cofres públicos ao atuarem no Ministério da Fazenda. Segundo informações da Folha de S. Paulo, a PF indica que os desvios aconteciam no Conselho Administrativo de Recursos Fiscais (Carf), órgão do Ministério que é responsável por julgar recursos administrativos contra autuações. Empresas dos ramos bancário, automobilístico, construção civil e siderurgia eram beneficiadas ao conseguir a anulação ou a diminuição dos valores dos autos de infração ao corromper conselheiros do Carf. As investigações começaram em 2013 e apontam que os servidores passavam informações privilegiadas a escritórios de advocacia, consultoria ou assessoria para facilitar o trabalho no Carf. Ainda de acordo com a Folha de S. Paulo, já foram apreendidos R$ 1,3 milhão em espécie e documentos, mas ninguém foi preso até o momento.
CORPO DE JOVEM ASSASSINADO NA ZONA RURAL FOI IDENTIFICADO PELA FAMÍLIA.
O corpo de um jovem de pele morena, estatura mediana, porte físico forte, com os pés amarrados, encontrado na zona rural de Itapetinga, na estrada de acesso a Fazenda de “Tonton”, na tarde de quarta-feira, 25/03/15, com perfurações de objeto contundente e/ou perfuro cortante (machado ou facão) na cabeça, removido pelo DPT para o Instituto Médico Legal (IML), sem identificação, pois não havia documento que pudesse identificá-lo, finalmente foi identificado na manhã desta quinta-feira, 26/03/15.
As tatuagens de um palhaço em uma das pernas e a descrição de “Izabele” em um dos braços, bem como a roupa que o rapaz trajava, ajudaram a família a identificá-lo. A Sra. Catiele da Silva Santos, residente no Bairro Vila Riachão, esteve na Delegacia Territorial de Itapetinga na manhã desta quinta-feira, 26/03/15, para reconhecimento do corpo do jovem através de fotografia e das referidas tatuagens.
Ela contou que seu irmão teria saído de casa, na Rua Gildásio Moura, nº 09, Bairro Vila Riachão, há três dias, mas que a família não se preocupou em registrar Boletim de Ocorrência do seu desaparecimento, pois ele tinha costume de sair de casa e ficar alguns dias sem dar notícia; que seu irmão era usuário de drogas e tinha passagem na polícia.
O corpo do jovem foi identificado como sendo o de Wadson da Silva dos Santos, vulgo “Andão”, 17 anos, residente na Rua Gildásio Moura, nº 09, Bairro Vila Riachão. Wandson, o Andão, no último dia 15/03/15, foi vítima de tentativa de homicídio no bairro onde mora, ao ter sido alvejado por dois disparos de arma de fogo e deu entrada no Pronto Socorro do HCR / Hospital Cristo Redentor / Fundação José Silveira).
No dia 02/janeiro/2014, Anderson da Silva dos Santos, o “Andão”, foi acusado de tentativa de homicídio contra Roniel Ribeiro dos Santos, ao efetuar disparos de arma de fogo e alvejar a vítima.
Foi apreendido pela equipe de Dr. Roberto Júnior, qualificado em Procedimento Específico e encaminhado para a Vara da Infância e Juventude desta Comarca.
Tiros na vagina, seios dilacerados e braços quebrados: Assassinato de Aline Miranda repercute na Bahia
Após o Bárbaro e cruel assassinato da jovem Jequieense Aline Miranda, encontrada morta em avançado estado de decomposição no último sábado dia 22/03, muitas pessoas relacionaram o caso, com o de outras mulheres que se envolvem com elementos que possuem relação com o crime organizado. O final é sempre o mesmo: cadeia ou morte. Entretanto, nada justifica o que fizeram com essa jovem moça, estudante de pedagogia da UESB (Jequié), e com um belo futuro pela frente.
Notícias preliminares dão conta que ela sofreu fratura em um dos braços, rompimento da vagina por objeto perfuro contuso (tiros), cabelo raspado, seios e rostos dilacerados, indícios de estupro, espancamento, e ainda atearam fogo em parte do seu couro cabeludo. Tudo isso, provavelmente antes de sua morte.
O velório aconteceu nesta última segunda-feira (23), na Igreja Batista Hosana, situada na Lagoa Dourada, onde o pai de Aline era membro. O sepultamento foi escoltado pela Polícia Militar até o cemitério.
Itapetinga: Chamadas gratuitas por voz no WhatsApp já estão funcionando
O recurso, que até o momento só está funcionando apenas em celulares Android
Após passar por teste, o recurso de chamadas de voz instalada no WhatsApp já está funcionando. Segundo a coluna ‘Link’, do site ‘Estadão’, o aplicativo já está enviando convites a alguns usuários fazerem ligações a outros contatos por voz do IP (VoIP), o mesmo sistema usado pelo Skype, por exemplo.
O recurso, que até o momento só está funcionando apenas em celulares Android, aparece apenas para usuários que estejam com o WhatsApp atualizado na versão 2.11.552 ou superior. Para ter acesso vá em Configurações -> Ajuda -> Sobre.
O aconselhável é baixar a ultima versão diretamente do site do WhatsApp(atualmente na versão 2.11.560). Em seguida, o usuário deve passar o arquivo Whatsapp.apk para o dispositivo e executá-lo diretamente do aparelho.Após instalar a versão atualizada (é preciso também liberar a instalação de apps de fontes desconhecidas em > Configurações > Segurança > Fontes Desconhecidas), é preciso reiniciar o aparelho e receber uma ligação de um usuário que já tenha o recurso funcionando.
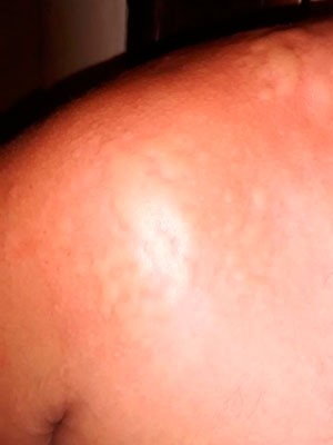
Doença misteriosa de Camaçari pode ser roséola ou parvorírus-B19
Após reunião realizada nesta quarta-feira (25), entre a Vigilância Epidemiológica e a Secretaria de Saúde de Camaçari, duas hipóteses foram levantadas para explicar a doença misteriosa que tem acometido diversos moradores da cidade localizada na região metropolitana de Salvador: roséola e parvovírus-B19, cujos sintomas combinam com os apresentados pelas pessoas que procuraram as unidades de saúde do município.
Entre os sintoma destacam-se pintas, dores e coceira pelo corpo. De acordo com o diretor da Vigilância Epidemiológica de Camaçari, Celso Joélio, até a última terça-feira (24), 39 casos da doença ainda não diagnosticada foram registrados oficialmente na cidade.
Em entrevista ao G1, Celso informou que a reunião desta quarta também definiu uma providência a ser tomada: amostras de sangue coletadas de alguns pacientes serão enviadas para laboratórios do Paraná e Rio de Janeiro.
“Não há na Bahia laboratórios apropriados para fazer o diagnóstico da roséola e do parvovírus-B19, por isso faremos os exames fora do estado”, afirma Celso.
Caixa não usa verba própria para bancar obras do Minha Casa, diz superintendente
O superintendente nacional do Minha Casa, Minha Vida na Caixa Econômica Federal, Roberto Carlos Cerato, afirmou nesta quarta-feira que o banco público não usa recursos próprios para bancar empreendimentos do programa habitacional. Cerato confirmou a informação do Tesouro Nacional de que há hoje um atraso de R$ 500 milhões que deveriam ter sido repassados para pagar as construtoras. “A Caixa não banca nada. De fato, nós só repassamos o recurso quando o Tesouro e o Ministério das Cidades nos repassam”, explicou. O superintendente participa de audiência pública na Comissão de Desenvolvimento Urbano da Câmara, que discute a disponibilidade e liberação de recursos para o programa. Segundo ele, os atrasos são de 15 a 20 dias, em média, exceto em “situações que fogem à regra”. “Muitas vezes, há discussões técnicas, documentos necessários a serem apresentados”, afirmou. Ele informou que a Caixa está aguardando o repasse dos recursos atrasados para que o crédito seja feito às construtoras.
Jesus “aparece” em montanha colombiana e causa polêmica
“Se você acredita em Deus, você vai ver a imagem”. É assim que a fiel Ximena Rosero define a paisagem de um penhasco em Putmayo, na Colômbia, que recebe centenas de pessoas nos últimos dias, todas interessadas em ver “o rosto de Jesus na terra”.
O suposto rosto apareceu no local após um desabamento e, desde então, tem sido alvo de visitas de vários fiéis. A polícia colombiana teve até que mudar a rota de seus oficiais, colocando mais policiais na região para evitar acidentes.
O “rosto de Cristo”, é claro, causa polêmica. Para muitos está ali — como destacou Ximena. Mas, para outros tantos, não passa de ilusão de ótica e um monte de terra em um barranco.
Banco do Brasil terá concurso para nível médio; salário de R$3.280
Provas do concurso devem ser aplicadas em julho ou agosto
Está em fase final de elaboração, o edital do concurso para escriturário do Banco do Brasil. De acordo com o Folha Dirigida, o banco ainda precisa definir o cronograma da seleção e o limite de cadastrados a ser formado e a previsão é de que o edital seja publicado em abril ou maio e as provas seriam aplicadas em julho ou agosto.
Após acusar Neto de desviar dinheiro da prefeitura, ministra notifica Rui
A ministra Maria Thereza de Assis Moura, relatora do processo movido pelo prefeito de Salvador, ACM Neto (DEM), que acusa o governador da Bahia de injúria, calúnia e difamação, determinou que o petista terá que “apresentar resposta à imputação, no prazo de 15 dias”.
Na eleição de 2014, Rui Costa acusou ACM Neto de desviar “através da publicidade uma verdadeira fortuna para o seu jornal, as suas rádios e para a filiada da Globo via verba de publicidade”, a Rede Bahia, da qual o democrata é sócio. Na época, o prefeito de Salvador rebateu a acusação do governador e prometeu entrar na Justiça. “O governador eleito está cometendo um crime e para tanto será chamado à Justiça para que prove as suas declarações”, disse Neto na oportunidade.
A ação penal contra Rui tramita no Supremo Tribunal de Justiça (STJ) porque ele tem foro privilegiado.






























